
![]() |
|---|
白目は一番下が強膜、その上がテノン嚢、その上が結膜、と言う3層構造になっています。
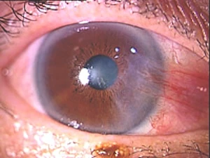
テノン嚢と結膜が異常に増殖して、角膜に伸びてきたのが翼状片です。
普通、鼻側から侵入してきますが、まれに耳側から侵入してくる場合もあります。
ひどい場合は、両側から侵入した組織が橋のようにつながることもあります。
はっきりとした病因は不明ですが、紫外線が原因のひとつと考えられています。
このため屋外で労働する人に多い傾向があり、また、緯度の低い地方、日本なら沖縄県に多い傾向があります。
徐々に角膜(黒眼)に結膜(白眼)が伸びて侵入してくるので、鏡を見るとわかります。
盛り上がりのために目の表面が凸凹するので、ゴロゴロしたり、ごみが入ったような異物感などの自覚症状が感じられます。
また、結膜の部分はしばしば充血して赤く見えます。
初発の場合は、非常にゆっくりと進行し、瞳孔領に至るまでは10年以上かかることが多くなっています。
翼状片が角膜に侵入するに従って角膜が引っ張られるので、乱視が出現し、視力低下が引き起こされます。
また、瞳孔を完全に覆った場合、視力が失われることもあります。
細隙灯顕微鏡による検査で容易に診断できます。
侵入してきた結膜組織の大きさが、角膜の端から3mm程度(角膜中心までのおよそ半分)になると、侵入した結膜組織とその根元の結膜自体を切除する手術をしなくてはなりません。
この時、角膜自体も表層は混濁しているため、薄くそぎとる必要があります。
3mm以上に成長した翼状片では、手術しても不正乱視(角膜表面がいびつな形になること)が残って、多少視力低下が残る場合があります。
問題は、手術後再発するケースが少なからずあることで、その確率は約50%ともいわれています。
再発の少ない手術として、遊離結膜弁移植という手術があります。
翼状片を切除した部位に、自分の結膜の一部を他の部分からとってきて縫いつけます。
この方法だと初回手術の再発率は5%未満です。
徐々にしか進行しませんが、専門医の診察を受けてください。
