
![]() |
|---|
加齢黄斑変性症は、高齢者に発症する病気で、加齢により網膜の中心部である黄斑に障害が生じ、見ようとするところが見えにくくなる病気です。
加齢黄斑変性は一般には馴染みの薄い病名かもしれませんが、欧米では成人の失明原因の第1位で珍しくない病気です。
日本では比較的少ないと考えられていましたが、社会の高齢化と生活の欧米化により近年著しく増加しており、失明原因の第4位となっています。
50歳以上の人の約1%にみられ、高齢になるほど多くみられます。
比較的最近まで治療法がなかったのですが、最近いくつかの治療法が新たに開発されて、早く見つければある程度の視力が維持できるようになってきました。
網膜に栄養を送っている脈絡膜という組織に新生血管という血管が生えてくることが原因です。これは、正常な血管とは異なり、血管の中の水が漏れ出てむくみを来したり、出血をひきおこしたりします。黄斑変性のタイプには、脈絡膜新生血管を伴う増殖膜が広がって、黄斑部の出血や浮腫が原因で黄斑部が破壊されていく滲出型と、黄斑部が徐々に枯れるように薄くなっていく萎縮型の2つのタイプがあり、日本では前者のほうが圧倒的に多くみられます。
網膜の中央の黄斑部が障害されるために、視野の中心部分が暗く見えにくくなる中心暗点が主な症状です。
これに伴い、視力低下や変視症(物がゆがんで見える)などの訴えもよくみられます。
ただし、片眼だけの場合は、反対側の眼で見ていて、症状に気づかないこともあります。
程度の差はありますが、両方の眼に生じていることもあります。あるいは、片眼が見えなくなった後に、数カ月あるいは数年経過して他眼も発症して見えなくなることもあります。そうすると、車の運転免許の更新はできなくなり、さらに食事など日常生活にも差しさわるようになります。![]() |
|---|
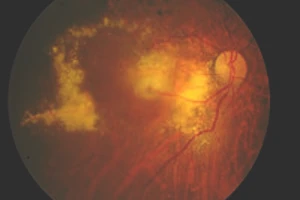
滲出型加齢黄斑変性症では眼底検査をすると、黄斑部に網膜下出血がみられ、漿液性網膜剥離や網膜色素上皮剥離と呼ばれるむくみがみられます。
螢光眼底造影検査を行うと、脈絡膜新生血管が広がっているさまがよく捉えられます。
またOCT検査(光干渉断層計)という網膜の断面をみる検査では、網膜の深い層が盛り上がっていたり、むくんでいたりするさまが観察できます。
中心視野検査(ハンフリー検査など)を行うと、様々な大きさや程度の中心暗点がわかります。
萎縮型の加齢黄斑変性症は、螢光眼底造影検査で網膜色素上皮の萎縮が地図状に広がっているのがみられますが、新生血管はなく、螢光が漏れてくるような所見はありません。
残念ながら萎縮型の加齢黄斑変性症には現在のところ治療方法はありませんが、滲出型の加齢黄斑変性症にはいくつかの治療法があります。
治療の目的は脈絡膜新生血管の拡大を抑え退縮させ、視力を維持あるいは改善することです。
視力が良くなることもありますが、視力が正常になることはほとんどありません。
病気を進行させないようにすることが大切です。
滲出性加齢黄斑変性では、病気の原因になっている脈絡膜新生血管を抑制するためのVEGF阻害剤という薬を、硝子体内に注射します。
初めは1か月ごとに3回注射を行い、しっかり病気を抑えます。その後は、定期的に経過をみて、数か月毎に追加の注射を行います。
喫煙している人はしていない人に比べて加齢黄斑変性になる危険性が高いことが分かっています。喫煙している人には禁煙が勧められます。
ビタミンC、ビタミンE、βカロチン、亜鉛などを含んだサプリメントを飲むと加齢黄斑変性の発症が少なくなることが分かっています。
加齢黄斑変性の発症が少なくなりますが、完全に抑えることはできません。
加齢黄斑変性になっていない人にも勧められますが、一方の目に加齢黄斑変性が発症した人にはサプリメントの内服が強く勧められます。
緑黄色野菜はサプリメントと同様に加齢黄斑変性の発症を抑えると考えられています。
肉中心の食事より、魚中心の食事の方がよいようです。
